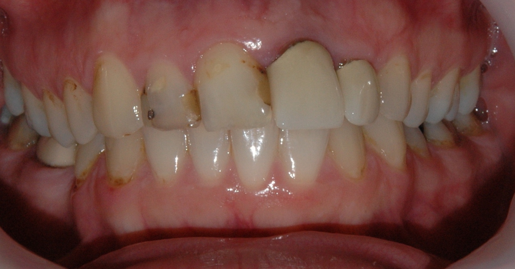
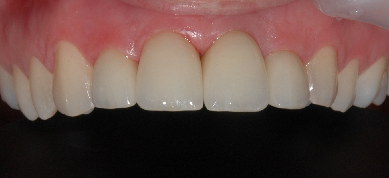
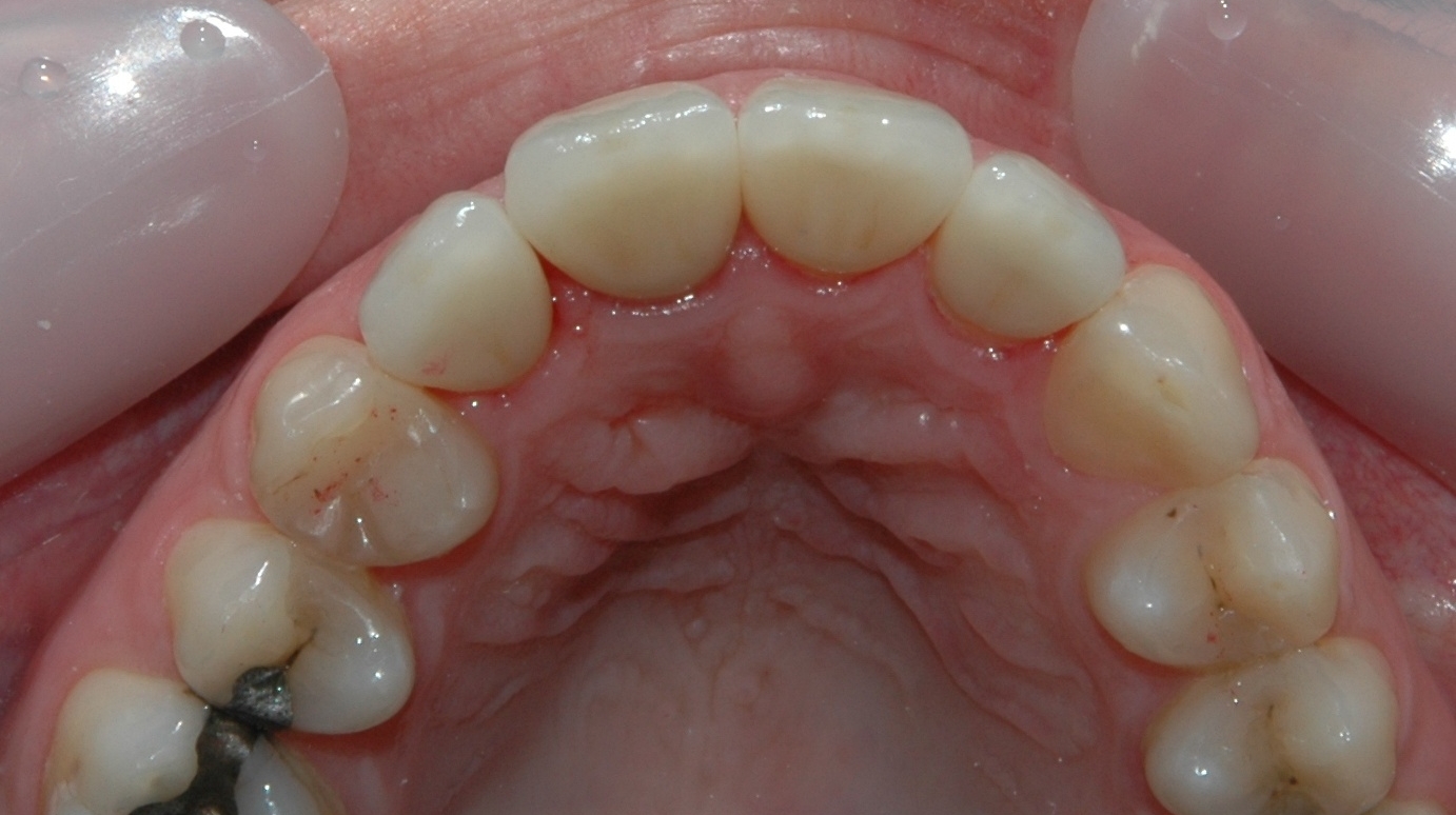
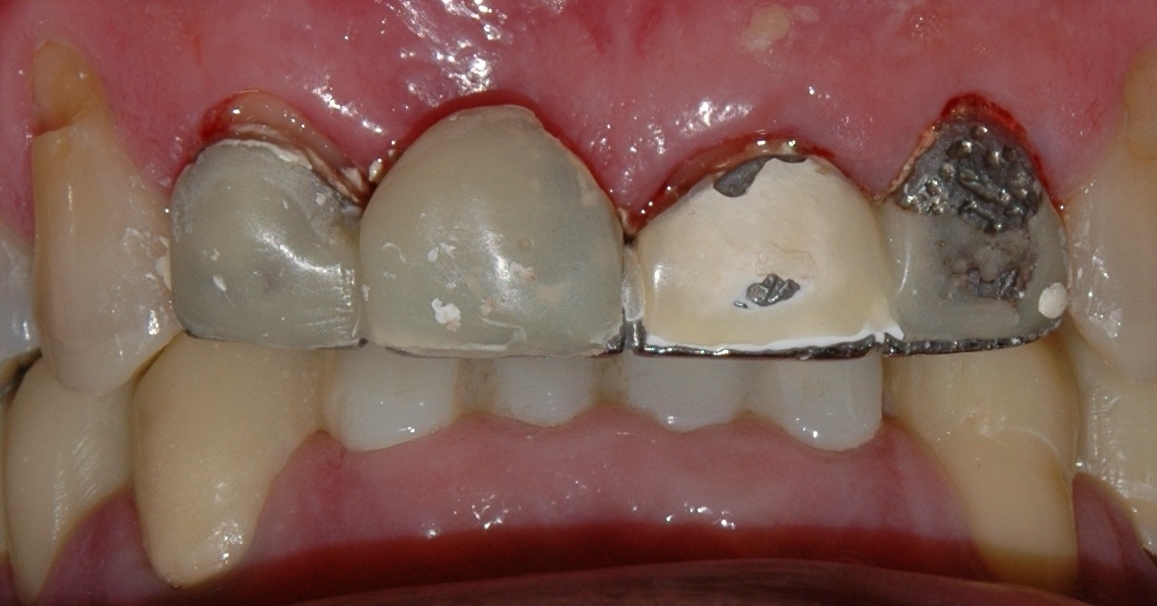
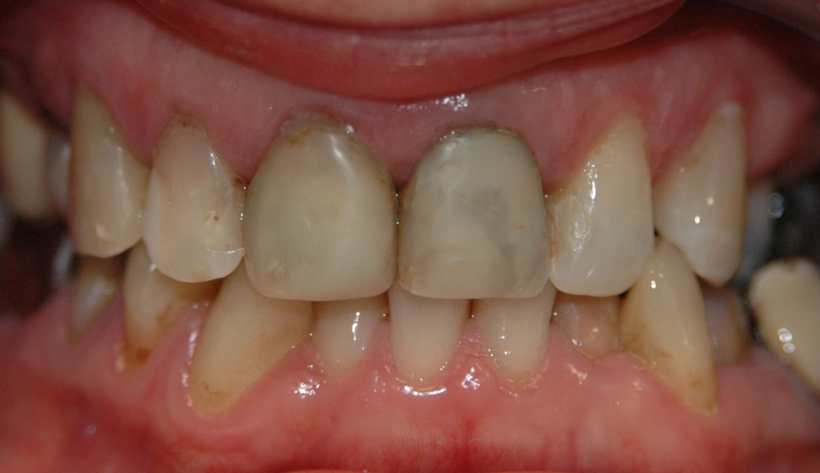
Pokud jsou defekty na zubech rozsáhlé, není možné je již ošetřit výplněmi. Na řadu přichází korunky a můstky. Při jejich zhotovování klademe důraz jak na maximální funkčnost, tak estetický vzhled. Předpokladem dlouhodobě funkčního řešení je dokonalá dentální hygiena.
Před ošetřením

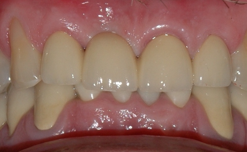
Po ošetření

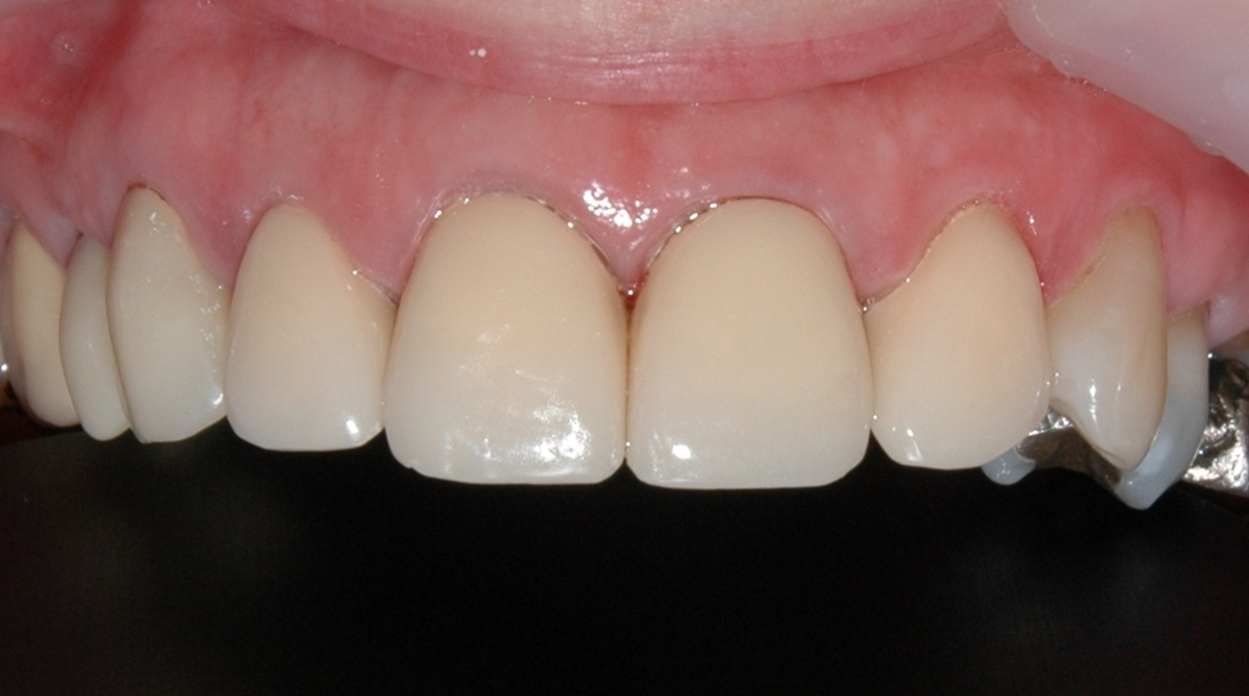
Po ošetření

Před ošetřením

Po ošetření
.jpg)
Před ošetřením

Po ošetření
