Trápí Vás krvácení dásní? Tvoří se Vám zubní kámen? Nemáte příjemný pocit ze svého dechu? Rádi Vám pomůžeme. Dentální hygienistka Vás naučí, jak efektivně odstaňovat zubní plak s bakteriemi, které jsou příčinou většiny onemocnění zubů a dásní. V případě potřeby Vám také odstraní zubní kamen a nevzhlednou pigmentaci.
"Správné čištění zubů je malé umění a není možné se ho naučit čtením, nasloucháním nebo sledováním videa. Je třeba ho opakovaně, v krátkých časových odstupech pod dohledem zasvěceného zubního lékaře nebo dentální hygienistky nacvičovat a posléze průběžně kontrolovat." (cit. z časopisu DTest 1/2014).
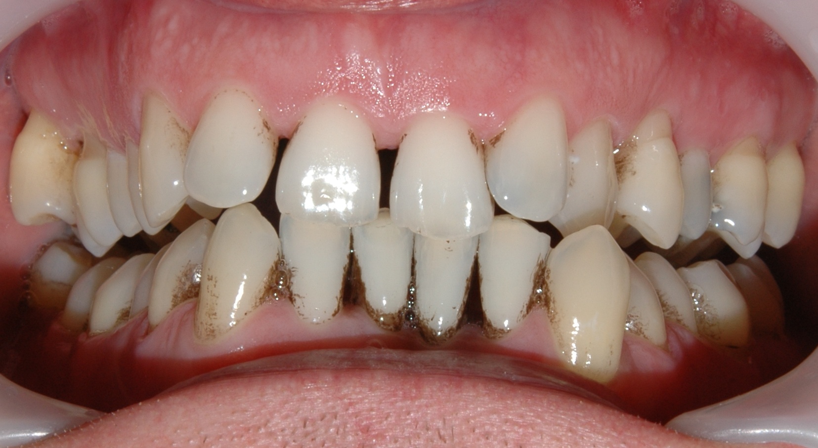
Před ošetřením

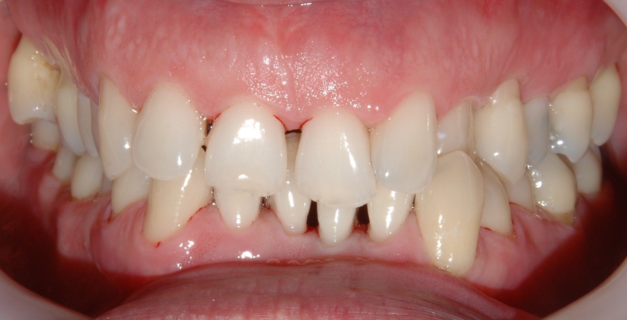
Po ošetření
