Preventivní prohlídky jsou zaměřeny na předcházení vzniku onemocnění zubů a dásní. Během preventivních prohlídek se věnujeme nácviku správné techniky čištění zubů a používání vhodných pomůcek. Součásní prohlídek jsou i periodické rentgenové snímky, díky nimž odhalíme onemocnění zubů a dásní v samém počátku. Abyste předešli rozsáhlemu a časově i finančně náročnému spravování zubů, je třeba kromě dostatečné každodenní hygieny přijít dvakrát ročně na preventivní prohlídku. Na preventivní prohlídku si prosím s sebou vždy vezměte pomůcky, které používáte na čistění zubů.
Nácvik správného čistění zubů u dětí

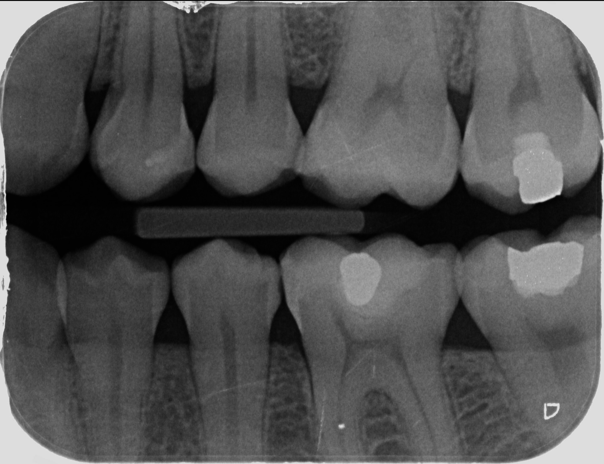
Preventivní rentgenový snímek
Rentgenový snímek se zřetelnými kazy a převislou amalgámovou výplní. Kazy se na rentgenových snímcích zobrazují jako tmavší skvrny, amalgámové výplně mají kontrastní bílou barvu.
.jpg)