Amalgámové výplně
Amalgám je nejčastěji používaným výplňovým materiálem. Při správném postupu, který je časově náročný, patří amalgám mezi nejtrvanlivější výplně. Pro amalgámové výplně používáme moderní dózovaný amalgám s vyšším podílem stříbra. Amalgám se k zubu nelepí, kousat na něj je možné za 30 minut. Amalgám se používá k ošetření malých a středně velkých defektů u zadních zubů.
Fotokompozitní (bílé) výplně
Fotokompozitní výplně umožňují díky kombinaci několika odstínů se co nejvíce přiblížit původní barvě zubu. Fotokompozitní materiál se nanáší postupně a k zubu se lepí speciálními lepidly. Během ošetření je nutné zajistit v ústech naprosto suché prostředí, proto se během ošetření používá gumová blána, tzv. kofferdam. Kousat na takto zhotovenou výplň je možné ihned po jejím dokončení. Fotokompozitní materiál se používá k ošetření malých a středně velkých defektů u předních i zadních zubů.
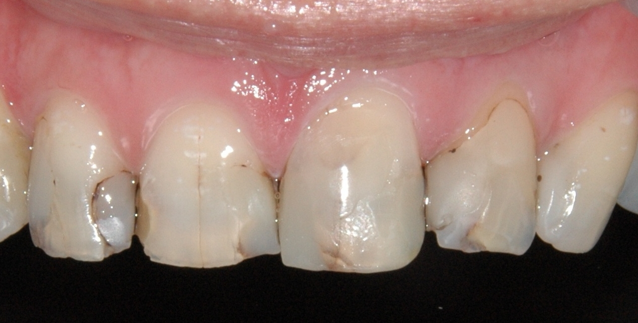
Před ošetřením

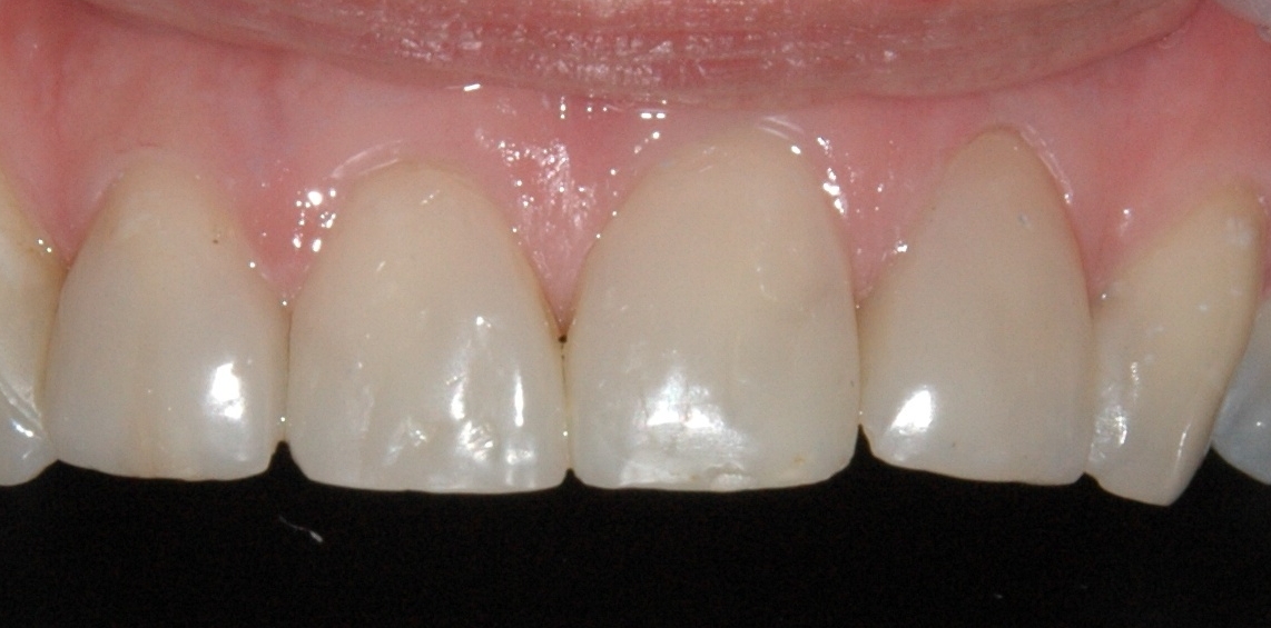
Po ošetření
