profesionální
péče o vᚠchrup

MUDr. Jan Šmídek

soukromá zubní praxe se zaměřením na estetickou stomatologii, endodoncii a dentální hygienu

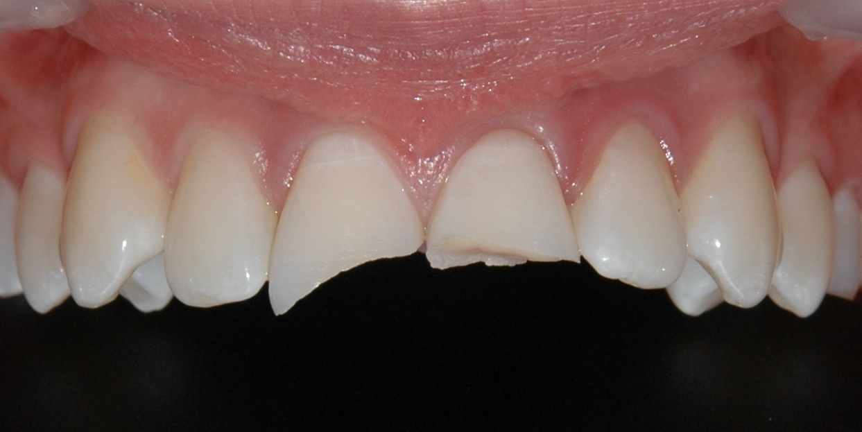
Úrazy

Vyražené nebo zlomené zuby nemusí být nenávratně ztraceny. Pokud je uchováte ve skleničce s vodou a co nejdříve nás budete kontaktovat, pokusíme se je zachránit.


 

Před ošetřením


 

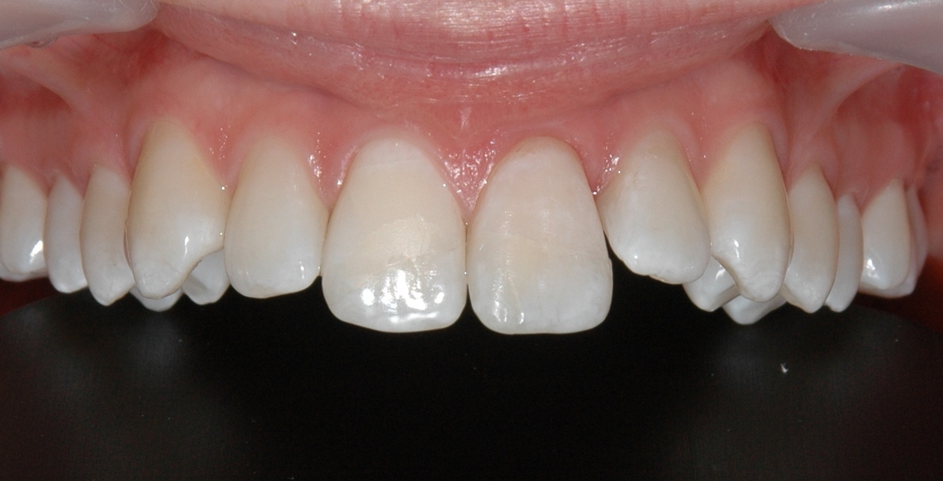
Po ošetření


 

Š Copyright MUDr. Jan Šmídek